L’endodontie
Qu’est-ce qu’une carie ?
La carie dentaire est comme une pomme qui commence à se détériorer à sa surface. Elle est causée par des bactéries présentes dans la plaque dentaire, qui produisent des acides. Sans traitement, cette détérioration peut s’étendre à travers la dent et atteindre la pulpe sous-jacente, entraînant des douleurs et des problèmes plus graves infectieux.
Une bonne hygiène bucco-dentaire et des visites régulières chez le dentiste sont essentielles pour prévenir les caries en éliminant la plaque dentaire et en renforçant l’émail des dents.
Qu’est-ce qu’un abcès?
Un abcès dentaire est une infection bactérienne douloureuse qui se forme au niveau de la racine d’une dent ou entre la dent et la gencive. Cela peut survenir lorsque la carie dentaire n’est pas traitée, permettant aux bactéries d’atteindre la pulpe dentaire, où se trouvent les nerfs et les vaisseaux sanguins. L’abcès se développe lorsque le corps réagit à l’infection en envoyant des globules blancs pour combattre les bactéries, créant ainsi une accumulation de pus.
Les symptômes d’un abcès dentaire incluent une douleur intense et pulsatile, une sensibilité au chaud ou au froid, un gonflement du visage ou de la joue, ainsi qu’une fièvre. Sans traitement, l’abcès peut se propager à d’autres parties du visage et du cou, entraînant des complications graves.
Il est important de traiter la source de l’infection et il est essentiel de consulter un dentiste dès l’apparition des symptômes pour éviter toute complication.
Les origines des abcès dentaires peuvent être variés : une carie dentaire profonde – un traumatisme de la dent – une fracture d’une racine dentaire – une résorption dentaire etc.
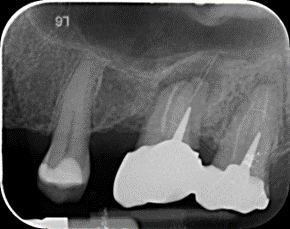
En quoi consiste le traitement endodontique ?
Le traitement endodontique donne t-il un succès à 100% ?
Le traitement endodontique est une procédure clinique qui va permettre d’augmenter les chances de conserver les dents, il a un très haut niveau de succès. Cependant, cette thérapeutique reste une procédure biologique, et comme tout autre acte médical, le succès ne peut pas être garanti à 100%.
En cas d’échec, (persistance d’une lésion inflammatoire osseuse), et après un suivi radiographique approprié, un retraitement endodontique ou une chirurgie pourront éventuellement être envisagés pour toujours tenter de conserver la dent. Malgré nos efforts, environ 5 à 10% des traitements endodontiques peuvent se solder par un échec, et dans ce cas, la dent concernée devra être extraite.

Faut il conserver sa dent ou bien la remplacer par un implant ?
C’est une question que l’on peut se poser. Comme tous actes médicaux, le traitement ou retraitement canalaire est un moyen thérapeutique qui donne une chance supplémentaire pour conserver sa dent un peu plus longtemps dans la cavité buccale. Lorsque ce traitement est un succès, les racines naturelles de la dent sont conservées et sera toujours la meilleure solution pour le corps. De plus, ce traitement peut éviter parfois un traitement implantaire long et plus complexe.
Cependant, lorsque le traitement endodontique est jugé impossible voire trop complexe pour permettre une longévité suffisante de la dent, le traitement implantaire reste l’un des traitements de choix à suivre.
Cette question peut être abordée au cas par cas avec votre chirurgien-dentiste.








